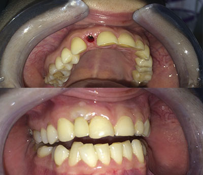
Implant dentar
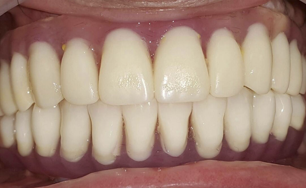
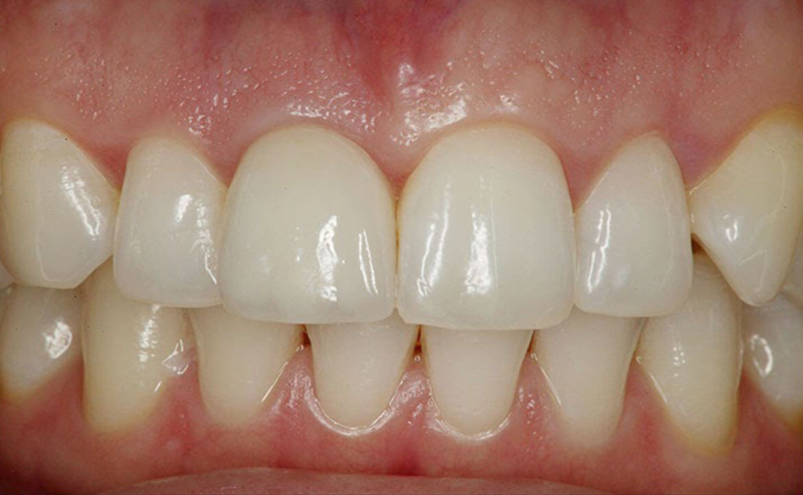
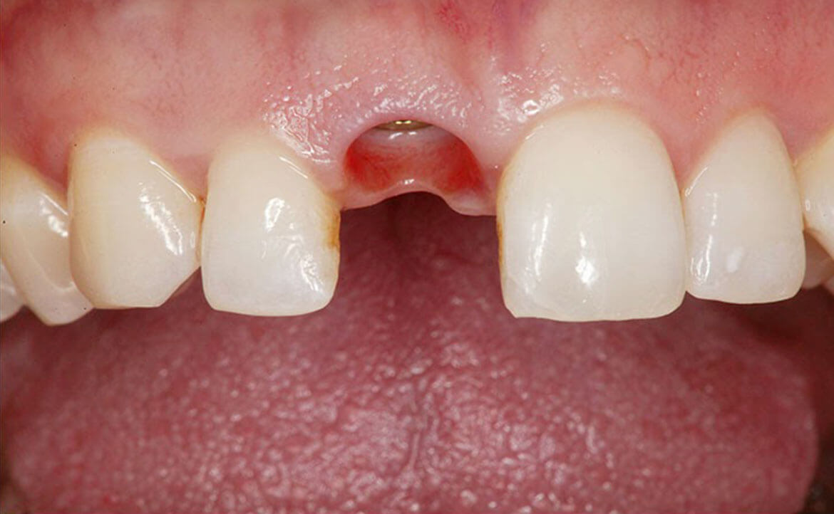
Puntea dentara
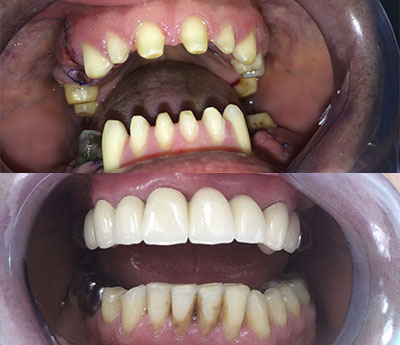
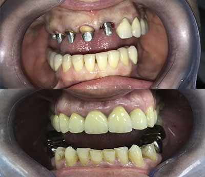
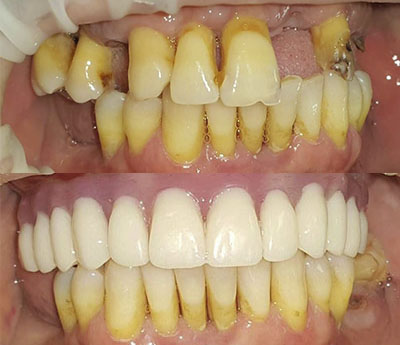
Fast & Fixed
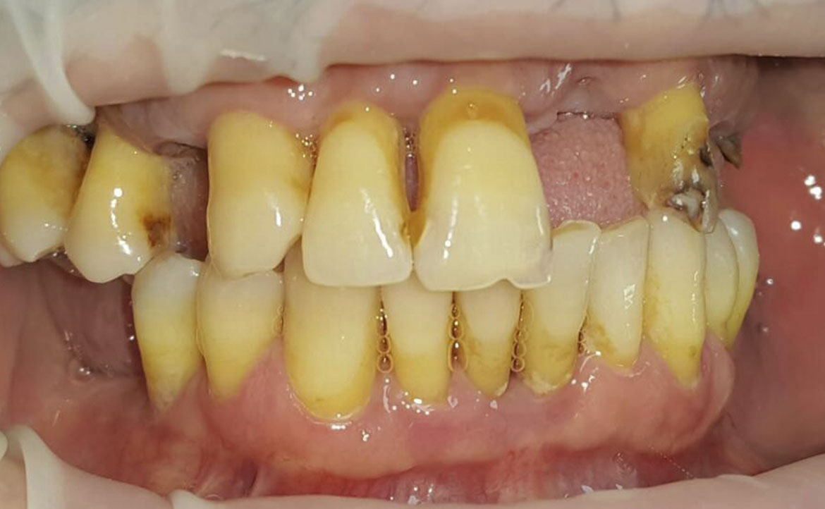
Proteza mobila
Pe lângă restabilirea estetică a danturii, puntea dentară împiedică complicațiile care pot apărea de pe urma lipsei unui dinte. Odată aplicată va îndeplini procesul normal de masticație și va îmbunătăți funcția fonetică.
Sistemul Fast&Fixed este o alternativă imediată. Această procedură îți va permite să-ți recapeți zâmbetul și încrederea în sine într-un timp scurt. Deși rezultatul este imediat, durata de viață a acestui implant este pentru o perioadă îndelungată.
O asemenea piesă protetică restaurează integritatea arcadelor dentare. Proteza mobilă realizată corect va ameliora estetic trăsătura feței pacientului, va permite restabilirea funcției masticatorii și va îmbunătăți fonația.
Implantul dentar este un dispozitiv confecționat din titan, care are rolul de a înlocui absența unuia sau mai multor dinți. Implantul îndeplinește funcția de radacină pentru viitoarea coroană dentară. Este fixat după intervențiile pregătitoare.
Puntea dentară este cea mai căutată soluție de umplere a spațiilor lipsă a danturii. Asta pentru că timpul de realizare este minim. Puntea este fixată pe dinții învecinați care, pentru o susținere mai bună, inițial sunt șlefuiți. Odată aplicată dantura capătă un aspect estetic natural și, dacă este întreținută corespunzător, are o durată de viață îndelungată.
Este un sistem inovativ care permite o fixare rapidă și de lungă durată a dinților lipsă. În acest caz se folosește osul nativ al pacientului. În acest fel sunt eliminate alte intervenții adăugătoare, cum ar fi creșterea masei osoase. Acest sistem presupune doar câțiva pași: consultarea, elaborarea unui set de analize, amprentarea dentară, inserarea implanturilor provizorii, refacerea arcadelor dentare, iar la final fixarea danturii definitive. De la consultare până la obținerea unui zâmbet impecabil te despart doar 24 de ore. 



mun. Chișinău,
str. Ismail, 106/2
R. Moldova, MD-2001
L – V: 08:30 – 19:30
S:       09:00 – 14:00
D:       Închis
Telefon
(+373) 68 01 01 00 (+373) 22 27-27-10